審美的な希望は自由診療で!保険では選択不可能な形を

例えば「着色した歯を白くしたい」「笑うと見える銀歯が気になる」「薄くしゃべりやすい入れ歯が欲しい」・・・ など保険で設計、製作できない問題を解決できます。
保険で作るプラスチック製の前歯は、数年で着色し摩耗してしまいます。同じくプラスチック製の入れ歯は、厚みがあるため発音しにくく、強度の面で脆弱であることは否めません。それらを改善するために様々な手法を用意しています。・・・まずはお問い合わせ下さい。
入れ歯でお悩みの方は・・・
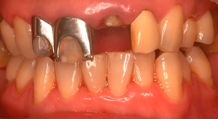
ずっと銀歯が気になっていた
でももう安心!
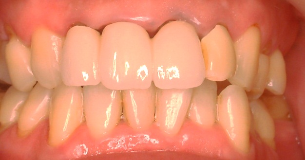
人前でしゃべるのが楽しい!
「白いきれいな歯になりたい」
「前歯の色、形をそろえたい」
そう考えるのは人として自然な欲求です。
コストにあわせてプランを選択できます。
白い歯にしたいなら・・・

歯を削らずに済む表面清掃から始まり、ヤニ落とし、漂白、そして望み通りの形と色を実現できるセラミック冠修復奥歯も白くできます。      


薄く強固な特殊金属の骨組みを持つ義歯も作れます。軽く異物感もありません